Da oltre 35 anni ci prendiamo cura del sorriso
La prevenzione dentale è una serie di pratiche fondamentali, che serve ad intercettare qualsiasi tipo di patologia ancora in fase iniziale a carico dell'apparato stomatognatico.
Come in tutte le altre branche della medicina prevenire è meglio che curare. Fa parte della prevenzione l'ablazione del tartaro.
-La seduta di ablazione del tartaro o detartrasi, consiste nella rimozione meccanica dei depositi di tartaro sui denti, con strumenti ad ultrasuoni e nella rimozione di macchie (fumo o alimenti) e nella lucidatura; inoltre ad ogni seduta viene effettuata una dimostrazione del metodo di spazzolamento dei denti più consono al paziente e vengono consigliati eventuali ausili utili ad un maggiore controllo della placca-tartaro(spazzolino, collutorio, filo interdentale, scovolino). In caso di forte sensibilità la seduta può essere eseguita in anestesia locale o topica (spray); ricordiamo inoltre che per la detartrasi vengono utilizzate punte ultrasoniche sottilissime e delicatissime e una strumentazione adeguata (curettes in carbonio, coppette per la lucidatura in morbido teflon, spazzolini, pasta da lucidatura, airflow) apposta per trattare al meglio le superfici dei denti.La detartrasi è una tecnica di prevenzione delle patologie gengivali e parodontali, perciò deve essere effettuata con regolarità. Il nostro sistema dei richiami personalizzati aiuterà i pazienti a ricordare quando sarà il momento di ripetere la seduta.
Nelle foto si vede un paziente che si è rivolto al nostro studio per una seduta di igiene orale.Utilizzando tutti gli strumenti necessari sopra descritti è stato rimosso il tartaro e tutte le macchie e il risultato è molto soddisfacente.


I tempi delle sedute dipendono da vari fattori :
· disposizione dei denti
· igiene personale
· stato di salute delle gengive
· fattori predisponenti (Es: salivazione eccessiva, abitudini scorrette, alimentazione etc. che facilitano la formazione del tartaro).
Alla fine della seduta attraverso l'utilizzo di una telecamera intraorale che proietta le immagini su uno schermo , si controlla il se la seduta di igiene è stata eseguita alla perfezione, se ci sono lesioni di altro tipo per esempio sulla lingua o sul palato, dopo di che si utilizza un nuovo ed innovativo strumento laser che transillumina il dente e riesce ad individuare le carie in fase iniziale e non ancora visibile ad occhio nudo, permettendo di effettuare la cura con micro-otturazioni. Grazie agli schermi di grandi dimensioni posizionati di fronte alla poltrona, il paziente può vedere direttamente tutte le immagini sia della telecamera sia del laser accompagnati dalla spiegazione della Dott.ssa Igienista o dall'Odontontoiatra.
- Fluoroprofilassi: altra pratica fondamentale ,serve a prevenire le carie nei paziente che hanno una elevata tendenza alla carie, ed è l'applicazione di fluoro attraverso un apparecchio elettronico (ionoforesi) direttamente sui denti, e indirizza il fluoro nei denti con carie.


L’Organizzazione Mondiale della Sanità (OMS) ritiene che l’impiego del fluoro rappresenti il metodo più efficace per la prevenzione della carie. La fluoroprofilassi consiste nella prevenzione della carie dentaria attraverso l’utilizzo del fluoro, un minerale che favorisce la formazione di uno smalto più resistente all’attacco acido della placca batterica, e che se assunto una volta che il dente si è formato, lo protegge dalla placca batterica. La tecnica più diffusa è quella della Ionoforesi che aumenta il passaggio del fluoro nei tessuti attraverso una differenza di potenziale elettrico .
Richiami personalizzati
Altra pratica importante per la prevenzione è il sistema dei richiami. Per i pazienti che lo desiderano il nostro studio offre un sistema di richiami personalizzati grazie al quale vengono avvisati direttamente a casa, o tramite email o messaggio al cellulare, dal nostro personale di segreteria, quando è il momento di ripetere l'igiene o la ionoforesi e la visita di tutta l bocca.
La terapia conservativa ha come fine ultimo quello di conservare non solo il dente ma quanto più materiale dentale possibile con una terapia minimamente invasiva.Ciò è possibile attraverso una prevenzione(leggi) accurata , utilizzo dei sistemi ingrandenti(caschetti Zeiss)una rimozione la meno ampia possibile della parte di dente e l'utilizzo dei materiali compositi che per le loro caratteristiche, permettono una tecnica di otturazione di tipo adesiva.
Nell'uso comune, utilizziamo il termine otturazione quando la carie comprende una cavità limitata, usiamo il termine ricostruzione quando la cavità che ne risulta dopo un accurata pulizia dalla carie è molto grande.
La terapia conservativa corretta comporta delle procedure molto precise:
-anestesia loco-regionale(permette al paziente di non sentire assolutamente nulla)
-applicazione della diga(foglio di gomma che isola totalmente il dente dal resto della bocca)
-pulizia della parte di dente cariato con micro-frese diamantate e a rosetta ma sempre sotto visione ingrandente dei caschetti Zeiss
-ed infine riempimento, con tecnica adesiva,della zona del dente dove è stata rimossa la carie, con materiale composito
Chiaramente questo schema è semplificativo rispetto a quello che viene eseguito, ma rende l'idea di cosa è un otturazione.
Nel nostro studio ormai da diversi anni utilizziamo una tecnica che abbiamo messo a punto noi,cioè invece di rimuovere la carie per via tradizionale ,noi la rimuoviamo per via laterale(vedi foto sotto).Questa tecnica,che può essere eseguita solo con sistemi ingrandenti e microfrese,permette di rimuovere solo la carie,perchè la via laterale permette di raggiungere la carie direttamente e sopratutto non tocchiamo la parte masticante del dente per cui l'otturazione non verra consumata dall'atto masticatorio e durerà molto più a lungo.
FOTO
Presenza di carie interprossimale del molare inferiore destro(1 foto)
Accurata pulizia della carie con tecnica minimamente invasiva e otturazione con tecnica adesiva(foto 2-3-4)
Presenza di carie sul molare inferiore destro

Applicazione della diga e rimozione accurata di tutta la parte di dente cariato

Altra visione dell'accurata rimozione della carie

Adesso il dente è otturato seguendo le più moderne tecniche dei sistemi adesivi

Una giovane signora si presenta al nostro studio perchè non Le piace questa otturazione che hanno eseguito in altro studio.Effettivamente l'otturazione sempra più scura e sopratutto non eseguita a regola d'arte.Proponiamo alla paziente di rifare l'otturazione .
Rimuoviamo l'otturazione precedente che appare più scura e debordante e applicando la diga,
rifacciamo l'otturazione che appare perfettamente mimetizzata e quindi invisibile.
Il momento in cui applichiamo la diga per isolare il dente e si nota l'incongruenza dell'otturazione

Dopo aver rimosso l'otturazione precedente si esegue pulizia della cavità e otturazione che adesso non è piu visibile.La paziente è rimasta molto soddisfatta

La terapia endodontica o terapia canalare o devitalizzazione, è quella parte dell'odontoiatria che cura la parte interna del dente, che è composta dalla camera pulpare e dalla quale originano i canali che scorrono all'interno delle radici.Attraverso le radici passano, arrivando dall'osso che circonda il dente, una arteria(colore rosso), una vena(colore blu ), e un nervo(colore bianco), che raggiungono la camera pulpare e aggrovigliandosi tra loro formano la polpa che è la parte sensibile del dente.Vedi figura sotto.
Quando una carie è molto profonda e raggiunge la polpa si può avere il "mal di denti".
A quel punto l'unica terapia possibile è la terapia canalare o endodontica o "devitalizzazione",con la quale si asporta tutta la polpa contenuta nella camera pulpare e nei canali ,e dopo aver alesati quest'ultimi si sigillano con materiali appositi (cemento e guttaperca).
Nella figura sotto a sx, un dente sezionato per far vedere le strutture prime descritte.
Un paziente si è rivolto al nostro studio per un fastidio-dolore a livello dell'incisivo superiore destro che gli era stato devitalizzato in un'altro studio.Abbiamo proposto,dopo aver fatto la radiografia digitale,il ritrattamento del dente che presentava un granuloma di discrete dimensione(che è quella macchia scura rotondeggiante).Il paziente ha accettato e abbiamo eseguito un ritrattamento completo,svuotando il canale del materiale che c'era e aiutati dal localizzatore apicale (strumento elettronico che misura la lunghezza del dente) abbiamo sigillato il canale come da protocollo.Ripetendo le radiografie si vede chiaramente la guarigione del granuloma e la scomparsa dei sintomi che il paziente lamentava.
Un molare sezionato in due per vedere come è fatto un dente all'interno

la prima rx a sinistra è come si è presentato nel nostro studio e l'ultima a destra è dopo il nostro trattamento dove si vede la perfetta guarigione.

In costruzione
Prima

Prima

La malattia parodontale è un’infezione batterica che attacca il parodonto, il quale è formato da gengive, osso e altri tessuti di sostegno dei denti. Essendo spesso indolore, può succedere che ci si accorga della malattia parodontale solo quando gengive e tessuto osseo sono seriamente compromessi: è, infatti, una delle cause più frequenti di perdita dei denti negli adulti.Fare prevenzione con visite di controllo regolari nel nostro studio, permette di fare una diagnosi precoce della malattia parodontale e di mettere in atto tutte misure necessarie sia di prevenzione che di trattamento.
Quali sono le cause di malattia paradontale?
· Scarsa igiene orale (placca e tartaro).
· Fumo: è uno dei fattori di rischio più importanti.
· Predisposizione ereditaria: una persona su tre è predisposta geneticamente allo sviluppo della malattia parodontale.
· Gravidanza: e altri cambiamenti ormonali nella donna, possono rendere le gengive più deboli.
· Stress: può rendere più debole la risposta immunitaria nel combattere le infezioni.
· Farmaci: contraccettivi, antidepressivi e altri farmaci possono influire negativamente sulla salute orale.
Predisposizione genetica
· Diabete e altre malattie: possono favorire lo sviluppo della malattia parodontale.
Prima

Prima

Quali sono i sintomi?
· Gengive che sanguinano .
· Gengive rosse, gonfie o sensibili.
· Gengive scostate dai denti.
· Gengive con fuoriuscita di pus.
· Alito cattivo o sapore sgradevole persistenti.
· Denti con mobilità evidente.
· Spostamento dei denti con creazione di spazi (diastemi) tra un dente e l’altro.
· Modifica della posizione masticatoria abituale.
Il trattamento della malattia parodontale dipende dalla sua gravità. Nei primi stadi la malattia può essere trattata rimuovendo placca, tartaro e tessuti infiammati dalla superficie dei denti nella zona sottogengivale. Questa procedura di pulizia profonda, include trattamenti di pulizia sopra e sottogengivale o scaling e levigatura radicolare o root planing e l'applicazione di OZONO con un nuovissimo apparecchio elettronico
Un metodo innovativo di igiene meccanica sopragengivale è il dispositivo AIR-FLOW e sottogengivali con il dispositivo PERIO-FLOW per combattere il biofilm batterico con strumenti moderni che utilizzano solamente aria e particelle di glicina(basso peso specifico e particelle di appena 25 micron, delicata sui testi molli e superficie dei denti)e riescono ad igienizzare profondamente e accuratamente ,senza nessun tipo di fastidio per il paziente
Il numero di sedute necessarie per trattare la malattia parodontale, dipende dalla sua estensione e gravità; il trattamento è solitamente reso più confortevole da un’anestesia locale.
La malattia parodontale non guarisce e, se non trattata, può portare alla perdita del dente i cui tessuti di sostegno siano seriamente danneggiati.
Noi siamo in grado, applicando le più moderne tecnologie, di trattare questa grave malattia.
Prima

Prima

Nonostante uno dei piu’ nobili compiti dell’odontoiatra sia quello di conservare il piu’ a lungo possibile gli elementi dentali, capita talvolta di dover procedere ad un’estrazione poiche’ non e’ piu’ possibile curare le normali patologie a cui puo’ andare incontro un dente. Un discorso a parte deve pero’ essere fatto per i terzi molari (anche definiti denti del giudizio). Questi denti (che erompono normalmente tra i 17 e i 21 anni) vengono spesso estratti per salvaguardare e prevenire patologie a carico dei denti adiacenti, o per ripetute infezioni.
Quali sono i problemi causati dai denti del giudizio?
Spesso accade che mandibola ed osso mascellare siano troppo piccoli per permettere la normale eruzione dei denti del giudizio. Questi potranno quindi essere parzialmente o totalmente inclusi nell’osso e nella gengiva, e condurre a patologie che si risolvono talvolta solo con la loro estrazione, nonostante costituiscano, quando sono sani, un patrimonio per la bocca del paziente. Le estrazioni dei denti del giudizio sono indicate in pazienti giovani, in modo da intervenire quando gli elementi non si siano completamente formati, previo precisa diagnosi intercettiva. Intervenire in anticipo comporta minor invasività nell’estrazione consentendo un minor tempo di guarigione, riducendo al minimo i fastidi post operatori.
SOTTO: TAC IN CUI SI NOTA IL DENTE DEL GIUDIZIO IN POSIZIONE ORIZZONTALE NELL'IMMAGINE IN BASSO A DX, IN ROSSO E' SEGNATO IL NERVO ALVEOLARE INFERIORE STRUTTURA IMPORTANTISSIMA CHE NON DEVE ESSERE TOCCATA.

Prima

Prima

L'estrazione è stata eseguita con successo in anestesia loco-regionale e sopratutto in maniera conservativa, utilizzando strumenti ultrasonici per evitare il dolore post-estrazione e limitare al minimo il tempo l'intervento.
Prima

Prima

Il nostro studio è provvisto di apparecchio radiografico che esegue Panoramiche e la T.A.C. cone beam Computed Tomography.
________________________________________________________________________________
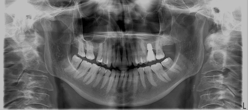
Per implantologia (dentale) s’intende quella branca dell’odontoiatria che ha lo scopo di riabilitare funzionalmente ed esteticamente un paziente affetto da edentulismo (mancanza o perdita di denti) totale o parziale mediante l’impiego di impianti dentali ovvero elementi in titanio, assolutamente biocompatibili inseriti chirurgicamente nell’osso mandibolare o mascellare, sotto la gengiva, atti a loro volta a permettere la connessione con protesi, fisse o mobili, per il ripristino della funzione masticatoria, oltre che estetica.Il nostro studio esegue interventi di implantologia da oltre 30 anni seguendo tutta l’evoluzione di questa branca con risultati eccellenti e con grande soddisfazione dei nostri pazienti.
Da cosa sono costituiti gli impianti?
Gli impianti sono costituiti da un corpo implantare propriamente detto, di forma cilindrica o conica, filettati all’esterno e con connessione interna a varia conformazione, e da un moncone, ovvero la parte emergente che fà da tramite tra l’impianto e la protesi sovrastante.
Quali sono gli impianti utilizzati?
Gli impianti più utilizzati sono quelli a vite di tipo endosseo, nella maggioranza dei casi lasciati sommersi sotto gengiva per un periodo di tempo congruo in base alla sede trattata (3 mesi nell’arcata mandibolare e 6 mesi nell’arcata mascellare).Noi utilizziamo un tipo di vite con le caratteristiche più evolute del momento.
Nella radiografia sotto si nota la presenza di un impianto perfettamente osteointegrato nell'arcata sup alla vostra destra

Di che materiale sono costituiti gli impianti?
Il materiale più utilizzato per la produzione di impianti è il titanio, in forma commercialmente pura o nelle sue leghe ad uso dentale, materiale biocompatibile che non comporta reazioni da parte dell’organismo (popolarmente ma erroneamente noto come rigetto). Gli impianti, posizionati nell’osso del paziente, verranno fortemente inglobati in esso dai fisiologici meccanismi di rigenerazione ossea, ossia quel processo che viene definito osteointegrazione ovvero l’intimo contatto tra l'osso e l'impianto senza l’interposizione di tessuto connettivo.
Cos’è l’implantologia computer assistita?
L’implantologia computer assistita si prefigge lo stesso scopo dell’implantologia tradizionale con la sola ed importante differenza che il medico utilizza un programma computerizzato che lo aiuta nel posizionare in maniera precisa gli impianti nell' osso del paziente.
Prima

Prima

Prima

Prima

Vantaggi…
Il primo è il ridottissimo trauma che il paziente riceve rispetto al trattamento convenzionale.Infatti la tecnica utilizzata non prevede l’incisione e lo scollamento delle gengive bensì l’impianto viene inserito effettuando un piccolo foro; inoltre il post operatorio risulterà più tranquillo cioè senza le manifestazioni chirurgiche e quindi edema, gonfiori ed ematomi. Il secondo vantaggio è la possibilità di poter posizionare la protesi fissa subito dopo il posizionamento implantare. l’Ultimo è la riduzione del tempo globale del trattamento, di fatti non incidendo e non scollando le gengive guariscono in minor tempo avendo come effetto un notevole riduzione del tempo globale del trattamento.
Chirurgia implantare guidata
è il sistema piu' sofisticato per eseguire l'implantologia e permette di posizionare gli impianti nel posto esatto programmato al computer con mascherine apposite ,costruite sempre in maniera digitale. Le impronte e la costruzione della protesi avviene tutto in maniera digitale senza usare paste per impronte o altri mezzi tradizionali.
E' una tecnica che ha rivoluzionato il campo dell'implantologia e permette di posizionare impianti che non potrebbero essere posizionati con tecniche tradizionali.
L’impantologia è effettuata con ausilii ad alto ingrandimento.
Lo sbiancamento dentale professionale
Lo sbiancamento viene eseguito nel nostro studio da più di dieci anni, è una pratica valida e sicura, che non altera ne rovina lo smalto dei denti ma lo rende molto più bianco, con un risultato sicuro ed evidente e stabile nel tempo. Una visita accurata da parte del dentista e l’uso di prodotti certificati e sicuri, rendono il nostro metodo sicuro.
Non esistono effetti collaterali dovuti allo sbiancamento professionale, possono esistere alcuni sintomi che si presentano durante la pratica per uno scorretto e non controllato metodo di sbiancamento o utilizzando prodotti non certificati o eseguito da personale non qualificato. Nel nostro studio lo sbiancamento è sotto stretto controllo del medico e dell'igienista, con visite e controlli ravvicinati ed è scevro da qualsiasi effetto collaterale
Lo sbiancamento dentale è una delle pratiche odontoiatriche più antiche nella storia. Già i Fenici e gli Antichi Romani erano soliti praticare lo sbiancamento con metodi più o meno sicuri (erano soliti usare impacchi di cera ed urea ). Nel Medioevo, usavano metodi più invasivi (soluzioni acide per andare a sciogliere lo smalto superficiale, ovvero quello più pigmentato, o si limavano le superfici esterne dei denti), creando dei danni irreparabili ai denti. In seguito, hanno utilizzato i rimedi della tradizione popolare, foglie di salvia o bucce di limone o bicarbonato da strofinare sui denti. Ma anche questi metodi, non davano un risultati apprezzabili.
Si deve arrivare alla fine degli anni '80 per codificare l'attuale metodo di sbiancamento. Certo da allora sono stati fatti passi da giganti sia per i materiali sempre più sicuri e certificati sia per la tecnica. Parallelamente vennero codificate anche le tecniche per sbiancare, con successo e senza rischi, i denti devitalizzati.
Le nuove frontiere sullo sbiancamento dentale riguardano la combinazione tra trattamenti sbiancanti professionali e i nuovi materiali dei trattamenti protesici (es. faccette), per avere una risultato estetico elevato nei casi clinici complessi.
Qui sotto delle foto dove si vede chiaramente l'arcata superiore trattata con il nostro metodo, molto più bianca dell'arcata inferiore che ancora non è stata ancora trattata. Quando la paziente è contenta del grado di sbiancamento dell'arcata superiore si passa a sbiancare l'arcata inferiore per avere uno sbiancamento omogeneo.
Prima l'arcata superiore

Prima l'arcata superiore

Le faccette dentali
Le faccette sono delle sottilissime lamine di ceramica che applicate sui denti ne modificano sia la forma sia il colore chiaramente migliorandoli.
Prima

Dopo

Prima

Dopo

Filler labbra
per ovviare a perdite di volume delle labbra ,aumentarne il volume,rimodellare i contorni, correggere le piccole rughe che compaiono sul contorno ,viene iniettato del filler ( acido ialuronico) .Il risultato è sorprendente.Tutto viene eseguito in anestesia locale e quindi senza sentire dolore.
1° caso - Una giovane paziente , si è presentata presso il nostro studio lamentandosi del volume scarso delle sue labbra. Abbiamo proposto l'intervento di aumento del volume.La paziente ha accettato e ha richiesto un aumento di volume significativo ed in anestesia locale abbiamo iniettato il filler senza alcun dolore. Qui sotto le foto del prima e subito dopo
Prima

Dopo

2° caso - Le foto qui in basso sono di una giovane professionista che ci ha chiesto un aumento di volume contenuto
Prima

Dopo

La terapia protesica è quella branca dell'odontoiatria che si occupa della riabilitazione protesica,cioè il ripristino dei denti mancanti perchè persi per svariati motivi o di denti che per svariati motivi hanno perso molta struttura dentale.
Il manufatto che sostituisce i denti mancanti o che ricopre denti distrutti, si chiama protesi dentaria che può essere fissa o mobile a seconda se è una protesi che si deve togliere per essere pulita(protesi mobile), o se è una protesi fissa cioè cementata o incollata ai denti adiacenti nel caso di un ponte o direttamente ai denti compromessi che necessitano di essere ricoperti.Con una tecnica all'avanguardia, si prende l'impronta non più in maniera tradizionale ma passando in bocca uno scanner che trasferisce l'impronta sul computer e li si riesce a progettare e fresare capsule monolitiche in pura porcellana, senza metallo che potrebbe creare allergie.
Qui sotto nelle foto,si vede la prima foto(a sinistra)dell'impronta trasferita al computer,la seconda(a destra)foto la progettazione e la terza foto (sotto a sinistra)le capsule provvisorie(in resina Telio) cementate in bocca.Dopo un mese viene ripresa l'impronta e progettate le capsule definitive in porcellana che vengono incollate ai denti formando con essi un corpo unico
Testo

Testo
Testo

Testo

Nuovo paragrafo in costruzione...
L'ortodonzia o più propriamente ortognatodonzia è una branca della dell'odontoiatria che si occupa della correzione della malposizione dei denti(ortodonzia), e della correzione della malposizione delle ossa mascellari(ortopedia), rispettivamente malocclusione dentale e malocclusione dento-sceletrica.
Lo scopo della ortognatodonzia è quella di diagnosticare i vari tipi di malocclusione, e se questa malocclusione è causata dalla malposizione dentale o dalla malformazione delle ossa mascellari(mandibola e mascella).
La terapia sarà finalizzata alla correzione della malposizione dei denti che sarà diversa nel caso la causa fosse scheletrica o dentale.
Nel nostro studio, il medico odontoiatra, dopo aver diagnosticato, con impronta studio, ortopantomografia e teleradiografia, il tipo di malocclusione, studia e prepara la terapia adatta a correggerla, parla con i genitori ai quali viene spiegata accuratamente la terapia, e solo dopo il consenso degli stessi, inizierà la terapia utilizzando apparecchiature ortodontiche fisse e mobili appropriate.
Un paziente adulto si è presentato nel nostro studio per correggere questa malposizione dei denti dell'arcata superiore ed dell'arcata inferiore. Dopo un attendo studio abbiamo deciso di procedere con la terapia di correzione attraverso l'utilizzo di mascherine trasparenti (F22). Il risultato è stato come noi l'avevamo proposto ed il paziente è rimasto molto soddisfatto del risultato ottenuto. Le foto qui sotto lo testimoniano.
Le foto a sinistra arcata superiore sopra e arcata inferiore sotto prima del trattamento.
Le foto a destra dopo lo studio e il trattamento.
Prima

Prima

Prima

Prima

Nelle foto si nota come il trattamento ha corretto in maniera eclatante una malposizione dentale che costringeva il paziente a tenere la bocca chiusa anche quando sorrideva per non vscoprire i denti.
Dopo la terapia il paziente si è sentito più sicuro sia nel parlare che nel sorridere scoprendo i suoi denti adesso ben allineati.